会員ページ

学会からの提言

3歳児歯科健康診断における不正咬合の判定基準

2015年7月
一般社団法人 日本小児歯科学会からの提言

2011年8月の「歯科口腔保健の推進に関する法律」の制定に伴い、「歯科口腔保健の推進に関する基本的事項」が定められ、その中の具体的指標の一つとして「3 歳児での不正咬合等が認められる者の減少」があげられている。しかしながら、3歳児歯科健康診断における不正咬合の判定基準は明確ではなく、現状は検診する歯科医師の裁量に任されているのが実状である。

今回、3歳児歯科健康診断における不正咬合の判定基準を明確にするために検討した。

公的歯科健診断の判定基準としては、日本学校歯科医会が定めている「歯列・咬合・顎関節の判定基準があり、平成27年改訂版では判定基準の見直しが行われているためそれを参考にする。

日本学校歯科医会の判定基準では、

0 :異常なし
1 :定期的な観察が必要
2 :専門医〔歯科医師〕による診断が必要
  とくに個別指導、健康相談重視

また、具体的な咬合判定「2」の基準は、

  1. 下顎前突
    前歯部2歯以上の逆被蓋
  2. 上顎前突
    オーバージェットが7~8mm以上(デンタルミラーの直径の半分以上)
  3. 開  咬
    上下前歯切縁間の空隙が6mm以上(通常のデンタルミラーのホルダーの太さ以上。ただし萌出が歯冠長 1/3 以下のものは除外)
  4. 叢  生
    隣接歯が互いの歯冠幅径の1/4以上重なり合っているもの
  5. 正中離開
    上下中切歯間の空隙が6mm以上(通常のデンタルミラーのホルダーの太さ以上)。
  6. そ の 他
    これら以外の状態で特に注意すべき咬合並びに特記事項
    例えば、過蓋咬合、交叉咬合、鋏状咬合、逆被蓋(たとえ1歯でも咬合性外傷が疑われたり、歯肉退縮や動揺の著しいもの)
    特記事項として軟組織の異常、左右同名歯の著しい萌出程度の差、過剰歯、異所萌出歯、萌出遅延、限局した著しい咬耗、習癖、発音異常、運動制限、鼻疾患となっている。

今回の改訂においては健康診断に先立って、小学校、中学校、高校の全学年において歯列・咬合顎関節に関して、事前に保健調査票を記入してもらうため、調査票を活用しての発達段階に応じた健康相談や保健指導が重要視されている。

ところで3歳児歯科健康診断では、

「よ い」(異常なし)
「経過観察」(顕著な歯列不正や不正咬合で、将来咬合異常が懸念される場合)
以上の2種類の分類のため、「よい」がほぼ正常になるので、それ以外はすべて「経過観察」となるため、どこまでが「よい」になるのかの判定基準により、検診歯科医師の診断が異なってくると考えられる。

3歳児歯科健康診断は視診によるスクリーニング的要素も強く、正常か要観察かの二者択一となる。保護者が同席しているため、今回の学校歯科健康診断における歯列咬合の判定基準の見直しのように健康相談や保健指導を重要視し、どの点が定期的な観察が必要なのか、現在の問題点と将来のリスクについて不安を与えないように説明することが必要である。
したがって3歳という発達段階を考慮すると、下記のような判定基準が妥当ではないかと考えられる。

なお、下記の判定基準に該当する場合は、母子健康手帳のかみ合わせ欄の経過観察を丸で囲み、特記事項欄に「矯正治療の時期および口腔習癖や生活習慣指導を含め、かかりつけ歯科医をみつけご相談下さい」という内容を記載する。

3歳児歯科健康診断における不正咬合の判定基準

  1. 反対咬合
    前歯部の連続した3歯以上の逆被蓋
    3歯未満の前歯部の逆被蓋は前歯部交叉咬合とする
  2. 上顎前突
    オーバージェット4mm以上
  3. 過蓋咬合
    オーバーバイト 4 mm以上(下顎前歯が上顎前歯に覆われて見えない)
  4. 開  咬
    上下前歯切縁間垂直的に僅かでも空隙のある者
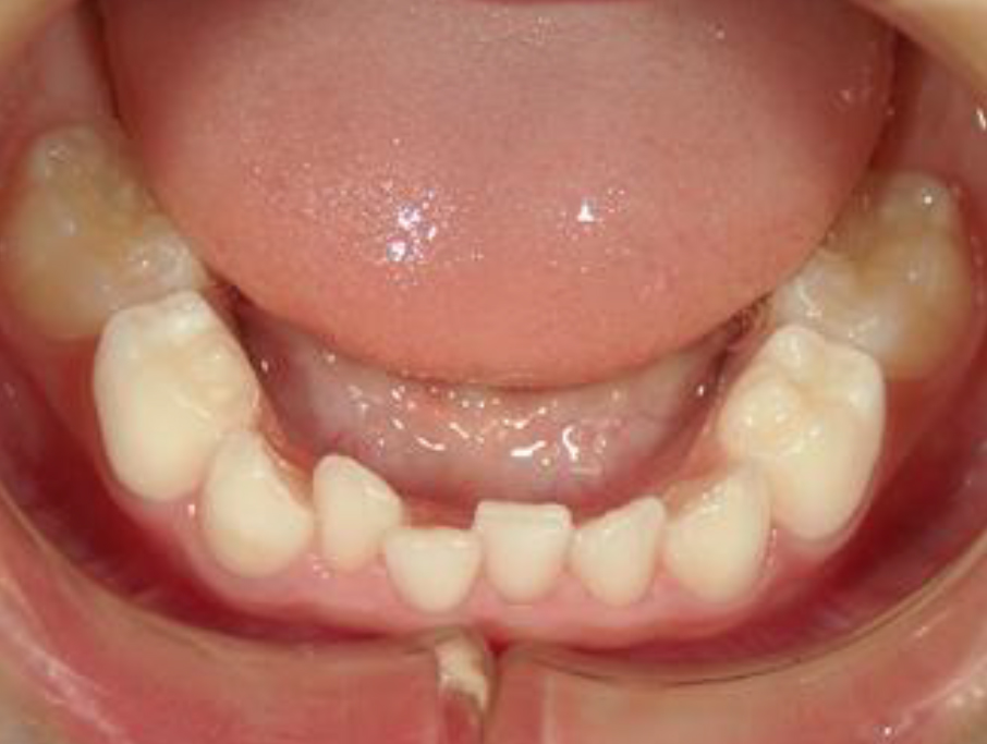
  5. 叢  生
    隣接歯が少しでも重なり合っている者
  6. 交叉咬合
    左右どちらかでもある者

上記の基準について口腔内写真を提示すると下記のようになる。

  • 正常咬合

  • ① 反対咬合

  • ② 上顎前突

  • ③ 過蓋咬合

  • ④ 開 咬

  • ⑤ 叢 生

  •  

  • ⑥ 交叉咬合

一覧に戻る